Alineadores invisibles de última generación. Removibles, cómodos y discretos. Evaluación con especialista y plan personalizado.
Rápido
Tratamientos más ágiles
Cómodo
Casi sin molestias
Discreto
Casi imperceptible
Higiénico
Removible para comer/cepillar
Descubre por qué cientos de pacientes eligen la ortodoncia del futuro: resultados predecibles, menor dolor y máxima estética durante el tratamiento.
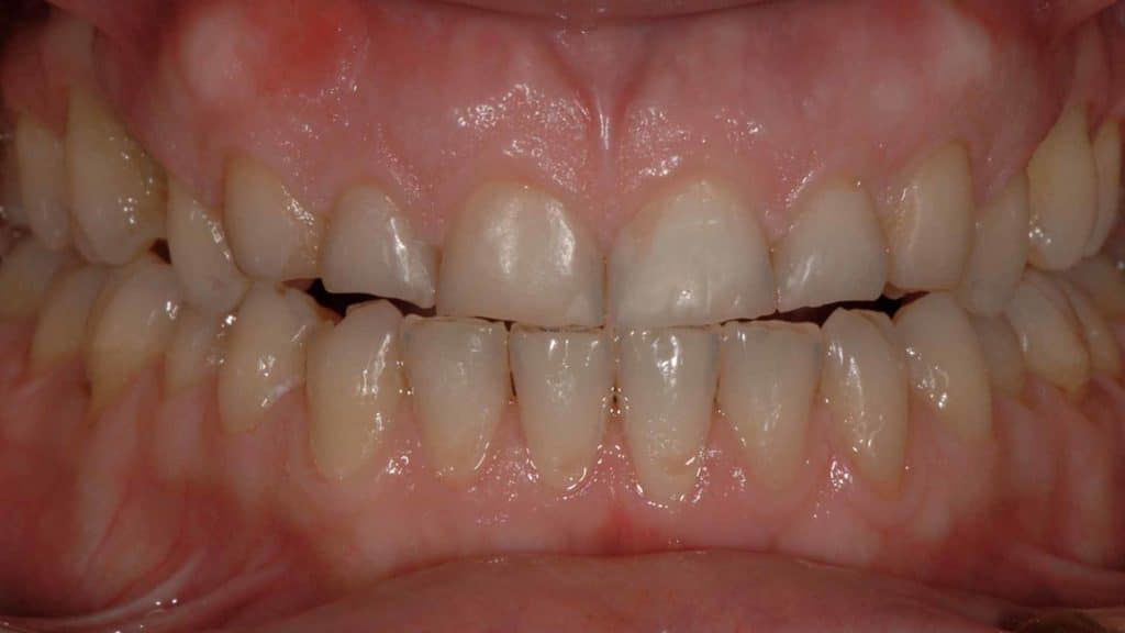
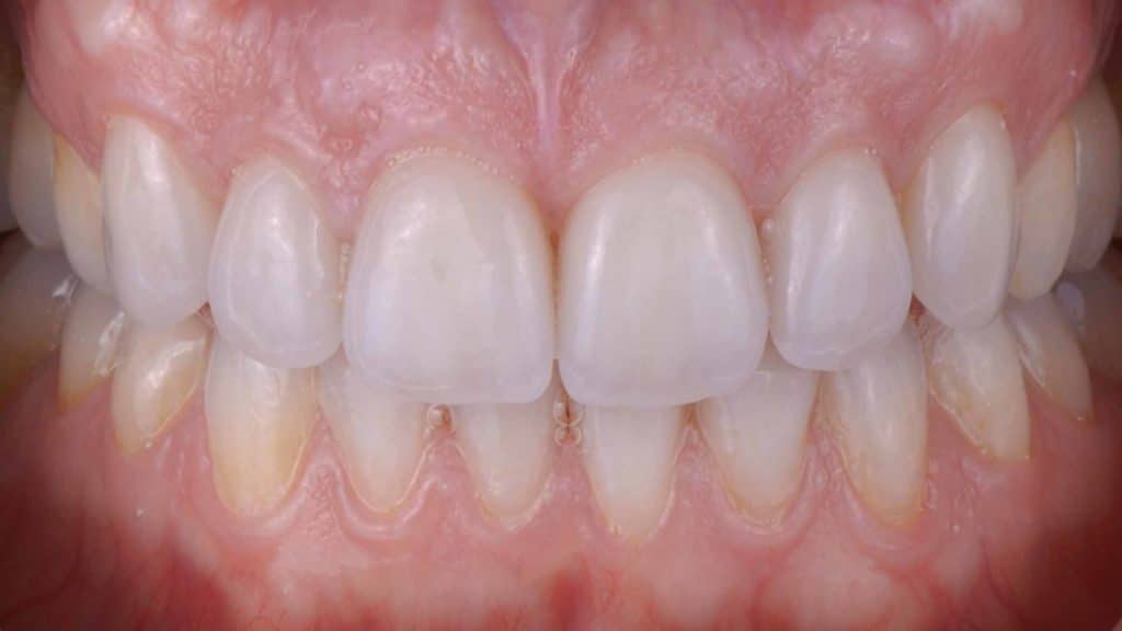
En nuestra clínica aplicamos alineadores invisibles tipo Invisalign con planificación digital. El tratamiento es cómodo, estético y se adapta a tu estilo de vida.
Resolvemos tus dudas y te damos una orientación inicial sin compromiso.
Tiempo estimado de respuesta: 5–15 min
Clínica en Santo Domingo de los Tsáchilas: Av. Quito y Río Chimbo, diagonal a la Cocina de Consuelo.
Alineación y cierre de espacios en 7 meses.

Corrección de apiñamiento leve en 6 meses.

Mejora de mordida y estética en 9 meses.